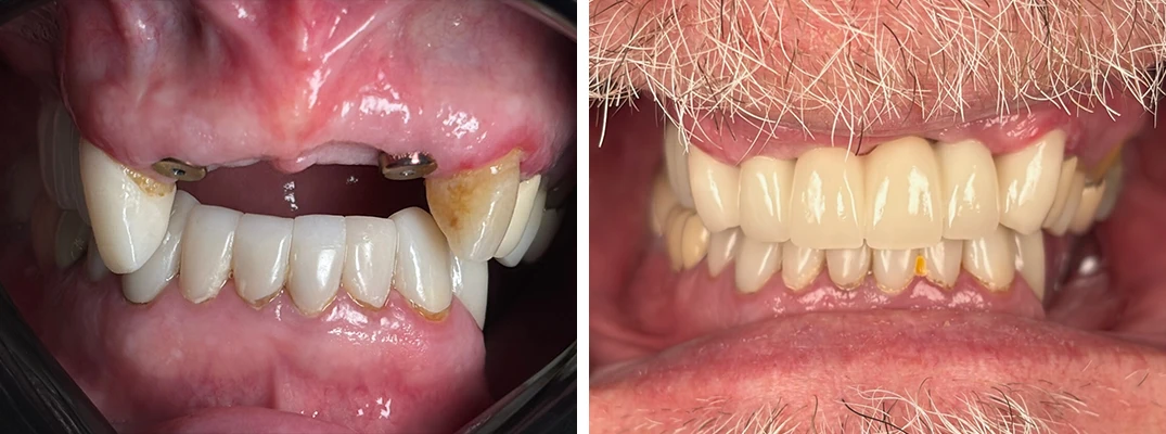
Trio Dental Care Smile Gallery

They say that a picture is worth a thousand words. Our photos speak for themselves.
If you are wondering how a visit to Trio Dental Care can improve your smile and your life, take a minute to look through our photo gallery.